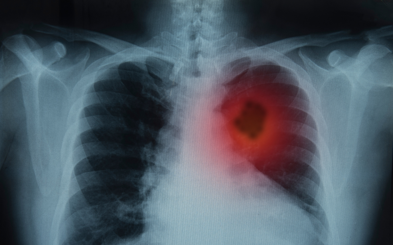
Australia’s lung cancer screening program launched on July 1, and marks real progress and opportunity.
It aims to reduce the number of people dying from lung cancer by offering regular low-dose CT scans to people who smoke, and those who have quit. The aim is to detect and treat cancer early before it has spread.
But the program’s design may further disadvantage Aboriginal and Torres Strait Islander peoples, who are disproportionately affected by lung cancer.
So Australia’s first new cancer screening program in almost 20 years risks entrenching health inequities rather than addressing them.
Lung cancer is a particular burden
Lung cancer is the most common cancer and the leading cause of cancer death for Aboriginal and Torres Strait Islander peoples.
Aboriginal and Torres Strait Islander peoples are 2.1 times more likely to be diagnosed with lung cancer, and 1.8 times likely to die from it, compared with non-Indigenous Australians.
Aboriginal and Torres Strait Islander peoples are also more likely to be diagnosed with lung cancer at a younger age than non-Indigenous Australians.
Understanding the broader context of lung cancer risk among Aboriginal and Torres Strait Islander peoples is crucial.
Aboriginal and Torres Strait Islander peoples have been paid in tobacco rations rather than wages up until the 1960s, excluded from economic and health systems, and targeted by tobacco industry marketing.
Indigenous-led tobacco control and quit-smoking programs, such as the Tackling Indigenous Smoking program, have made significant progress in reducing smoking rates. Indigenous communities are leading the resistance against tobacco industry harms.
However, Aboriginal and Torres Strait Islander peoples face major barriers to lung cancer screening. This is particularly in rural and remote areas where access to GPs, radiology services and culturally safe care is limited.

Lung cancer screening should account for this
Initially, the lung cancer screening program was designed with a lower screening age for Aboriginal and Torres Strait Islander peoples – 50 years compared with 55 years for non-Indigenous Australians. This made sense in the face of the earlier and higher risk of lung cancer.
However, the Medical Services Advisory Committee, the body responsible for assessing applications for public funding, removed this risk-based distinction. Now there’s a general age eligibility of 50-70 years.
This is a shift from equity (fairness) to equality (sameness). In health, treating everyone equally deepens inequities.
By contrast, many public health programs strive for equity and reflect the differing needs of Aboriginal and Torres Strait Islander peoples. For instance, heart health checks and many vaccines are offered to Aboriginal and Torres Strait Islander peoples at a younger age.
There are also possible consequences of lowering the screening age for non-Indigenous Australians from 55 (as originally intended) to 50. Cancer Australia’s report warned this would not provide a favourable balance of benefits and harms, nor would it be cost-effective.
In this lower-risk population, this could increase the likelihood of detecting slow-growing lung nodules unlikely to cause harm. This can lead to unnecessary tests and procedures, anxiety, psychological distress, overtreatment and even harm.
While Aboriginal and Torres Strait Islander peoples can also experience these potential harms, the higher risk of lung cancer earlier means the potential benefit from early detection outweighs these risks.
Let’s call it for what it is – structural racism
So current eligibility criteria expands the eligibility for lower risk groups. Yet it ignores Aboriginal and Torres Strait Islander peoples’ higher risk and cumulative impacts of remoteness, limited access to health services and other health conditions.
This decision significantly increases the number of people accessing the program. While this may appear equal on the surface, it risks a misallocation of limited health system resources, particularly in an already overstretched health system.
That’s a clear example of structural racism – when policies that seem neutral actually uphold longstanding inequities, and reinforce disadvantages.
This has parallels with concerns raised in the United States. Screening guidelines there have been criticised for failing to account for higher rates of lung cancer in African Americans.
What should we do next?
If we’re serious about a commitment to equity in cancer outcomes – as outlined in the Australian Cancer Plan and Aboriginal and Torres Strait Islander Cancer Plan – we must ensure screening policies do not inadvertently widen inequities.
We must revisit who’s eligible for screening and how eligibility is determined. This may mean not only considering age and smoking history, but other factors such as a family history of cancer.
It might also mean predicting lung cancer risk using models such as the PLCOm2012 risk prediction model. However, this particular model has not been validated in Aboriginal and Torres Strait Islander peoples, which needs to be a priority.
Instead, the Medical Services Advisory Committee has prioritised the same screening age for all – administrative simplicity over this more sensitive way of assessing risk.
We must prioritise Aboriginal and Torres Strait Islander peoples on screening waitlists and follow-up, and strengthen the cultural safety of services.
We must ensure robust data collection and reporting to evaluate the screening program. Evaluation needs to assess if the program delivers equitable access and outcomes, as well as delivering on effectiveness, safety and cost.
All these actions are essential to address the higher burden of lung cancer among Aboriginal and Torres Strait Islander peoples and uphold equity and the right to health over administrative simplicity.
More information about the program is available, including for Aboriginal and Torres Strait Islander peoples. If you need support to quit smoking, see your doctor or call Quitline on 13 78 48.
Associate Professor Lisa Whop (Gumulgal Wagadagam) is Associate Director of Research and Senior Fellow at Yardhura Walani, the National Centre for Aboriginal and Torres Strait Islander Wellbeing Research, Australian National University.
Alison Brown is a Research Fellow in the Melbourne School of Population and Global Health.
Raglan Maddox (Bagumani (Modewa) Clan, Papua New Guinea), PhD, MPH, is a Senior Fellow and leads the Tobacco Free program at Yardhura Walani at the National Centre for Epidemiology and Population Health, Australian National University.
This article is republished from The Conversation under a Creative Commons license. Read the original article.
The statements or opinions expressed in this article reflect the views of the authors and do not necessarily represent the official policy of the AMA, the MJA or InSight+ unless so stated.
Subscribe to the free InSight+ weekly newsletter here. It is available to all readers, not just registered medical practitioners.
If you would like to submit an article for consideration, send a Word version to mjainsight-editor@ampco.com.au.

more_vert
Structural racism my foot !
By all means we want regional Australians and Indigenous Australians to have access to screening tests for lung cancer. But when MSAC decides to pick the one age group to screen
for all – very likely for simplicity as the authors state – it’s a long bow indeed to try and claim that this disadvantages Indigenous Australians especially.
The introduction of lung cancer screening in Australia is very welcome but should be accompanied by increased efforts to reduce cigarette smoking, the most important risk factor for lung cancer. In 2020, New Zealand changed its policy to ensure that vaping nicotine became more available than high risk combustible cigarettes. Since then, the decline in smoking rates has accelerated among the general population in New Zealand but even more so among the Māori and also among other disadvantage populations compared to smoking rates in First Nations and other disadvantaged Australians. Instead, Australia is still relying heavily on excessively high cigarette excise to reduce smoking even though existing taxation has encouraged the development and dynamic growth of a vigorous black market in cigarettes. Cigarette excise in Australia will be increased by another 5% from 1 September, 2025.